2025年6月3日上午,医学检验技术教研室继续在实验楼B408实验室组织免疫检验专项培训,本次培训内容为酶免疫组织化学染色,曾常茜教授专业指导。
培训前,曾教授围绕实验核心求精心筹备,不仅梳理小鼠B细胞mIg检测的原理要点,结合酶免疫组织化学染色的技术难点。编制详细操作手册,还提前制备多组小鼠组织样本进行预实验,将可能出现的实验误差及解决方案整理成教学案例库,为培训开展筑牢基础。


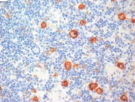
培训过程中,曾教授以“理论讲解+实操演示”的模式展开教学,系统阐释酶免疫组化染色在B细胞mIg检测中的临床应用价值,通过分步演示样本固定、抗原修复、酶标抗体孵育等关键步骤,细致讲解每一步的操作规范与注意事项。


参与培训的年轻教师全程积极投入,不仅认真记录染色流程中的技术要点,还就抗体选择、显色时间控制等细节与曾教授深入交流,通过分组实操反复练习强化技能掌握。此次培训以扎实的前期准备与专业的教学指导,推动年轻教师在免疫学检验实验技术上的能力提升,为后续教学工作开展夯实实践根基。